0756 555 201 Solicitați o programare
Endodonție
Endodonție
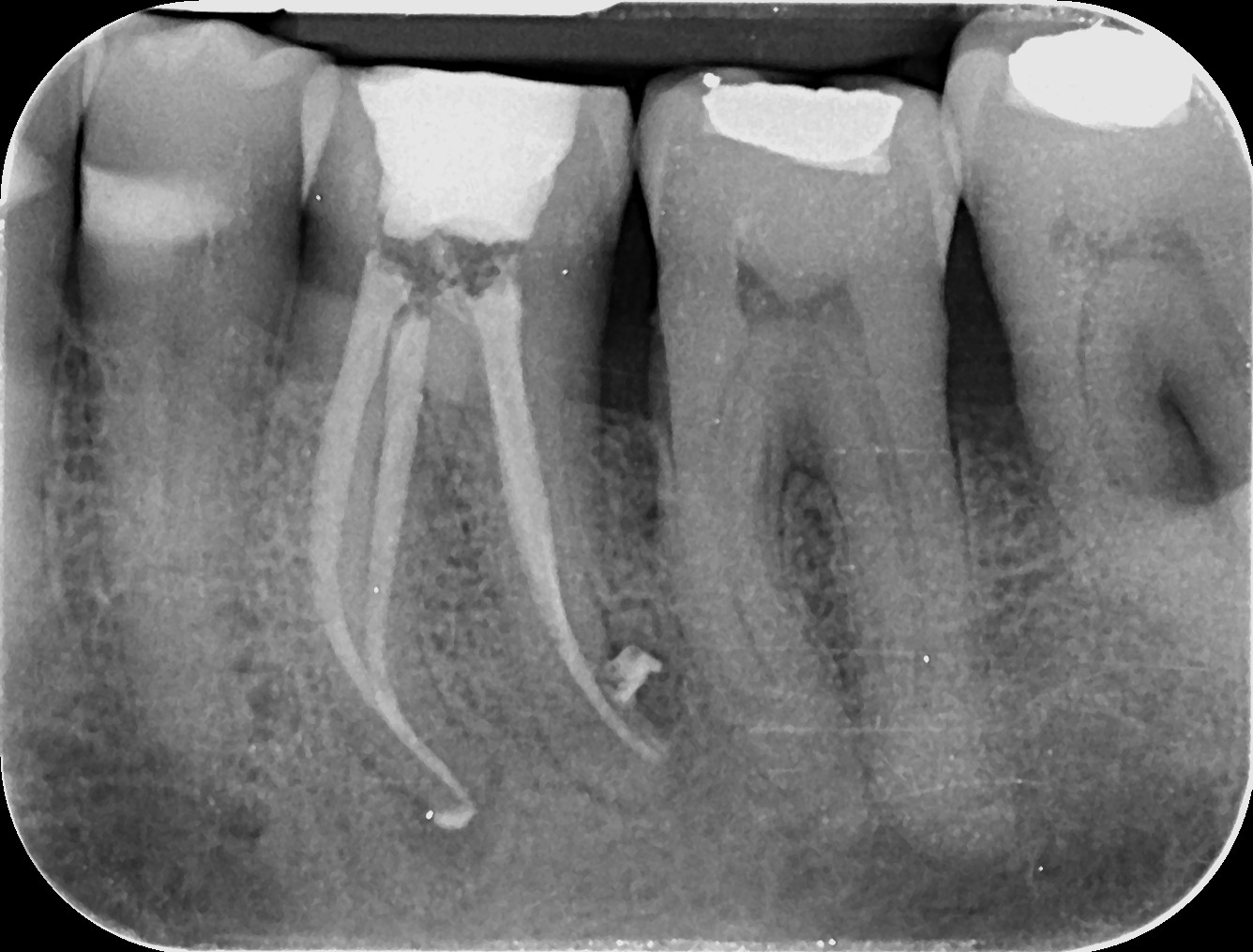
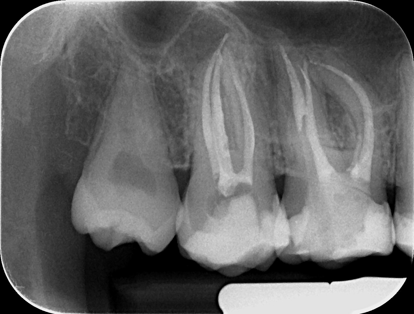
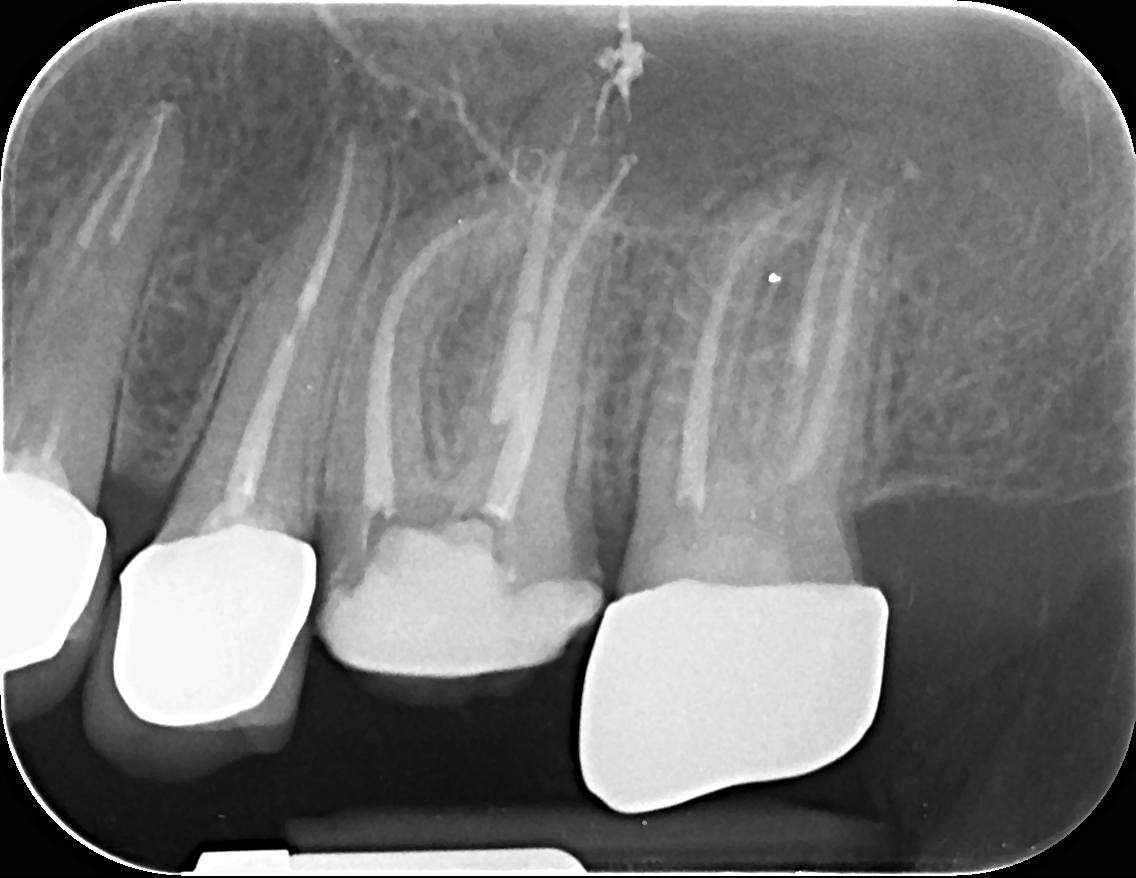
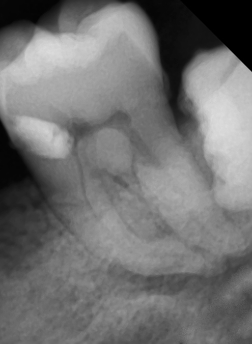
Pacienții necesită un tratament endodontic atunci când la nivelul camerei pulpare sau a canalului radicular există inflamație sau infecție, din cauza unei carii profunde, a unei fisuri sau provocată de un traumatism accidental. Poate fi realizat într-o singură ședință sau în mai multe, în funcție de complexitatea cazului.
 
În timpul tratamentului, medicul endodont curăță, dezinfectează, prepară canalele radiculare și obturează etanș spațiul creat. Dinții cu destrucții coronare masive necesită ranforsare cu pivoți de fibră de sticlă, iar ulterior vor fi șlefuiți și acoperiți cu lucrări protetice ce redau rezistența structurii dentare restante.
 
Unde ne găsiți
Beclean, Jud. Bistrița-Năsăud,
Str. 1 Decembrie 1918, nr. 57A
Program de lucru:
Luni - Vineri: 09:00 - 19:00
© Copyright Muresan 2020 ANPC Politica de confidențialitate Informații legale