0756 555 201 Solicitați o programare
Protetică dentară
Protetică dentară

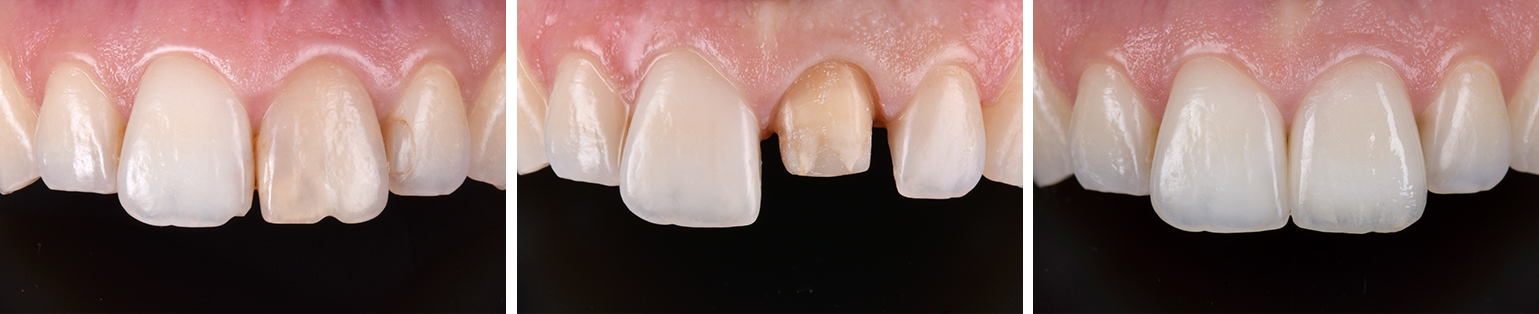
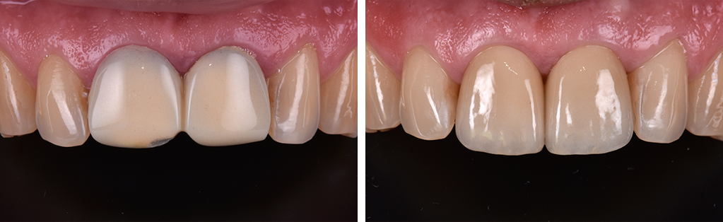
Scopul proteticii dentare este redobândirea funcțiilor orale și a esteticii, prin înlocuirea dinților absenți și reabilitarea dinților care prezintă indicații de tratament protetic (dinți fracturați, dinți cu distrucții coronare masive și rezistență scăzută, dinți abrazați, dinți care prezintă modificări de culoare).

Absența unor dinți are ca și consecințe dificultăți în masticație, alterarea fonației și un aspect facial îmbătrânit. De asemenea, dinții rămași sunt suprasolicitați și supuși unor modificări de poziție, aceste modificări conducând și la apariția afecțiunilor gingivale.
Dacă spațiul rămas nu este protezat la momentul oportun, osul din zona dintelui absent prezintă un proces accelerat de rezorbție osoasă, făcând dificilă plasarea unor implanturi dentare ulterior. Mușcătura incorectă rezultată în urma pierderii unor dinți provoacă disfuncții ale articulației temporo-mandibulare, manifestate prin dureri musculare, pocnituri ale articulației și blocaje în mișcările mandibulei.

Restaurările unidentare pot fi: fațete, coroane, inlay, onlay, table-tops.
Restaurările pluridentare sunt reprezentate de punțile dentare (dinții vecini breșei dentare sunt șlefuiți și utilizați ca dinți stâlpi pentru viitoarea lucrare protetică).
Restaurări protetice pe implanturi.
Proteze totale/parțiale sau proteze scheletate.

Unde ne găsiți
Beclean, Jud. Bistrița-Năsăud,
Str. 1 Decembrie 1918, nr. 57A
Program de lucru:
Luni - Vineri: 09:00 - 19:00
© Copyright Muresan 2020 ANPC Politica de confidențialitate Informații legale