0756 555 201 Solicitați o programare
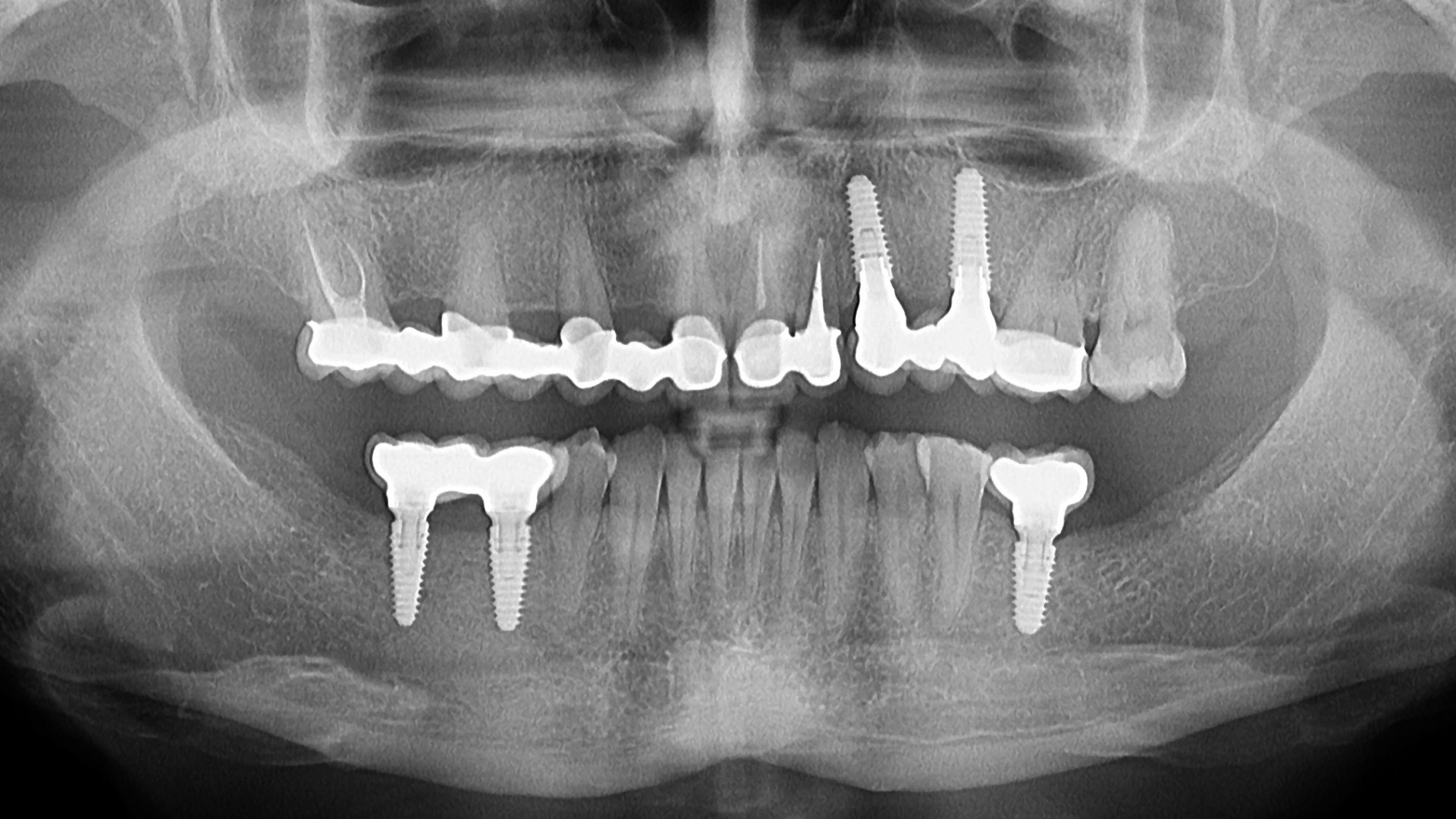
Radiologie dentară
Radiologie dentară

Radiografiile dentare sunt investigații ce ajută medicul stomatolog să vizualizeze zone ce altfel îi sunt inaccesibile și să intercepteze o serie de probleme într-o fază incipientă. Astfel, medicul poate interveni mult mai rapid, iar tratamentele sunt mai ușor de realizat, mai puțin invazive și cu rezultate mult mai bune pe termen lung.

Radiografiile pot evidenția o serie de probleme, cum ar fi: carii dentare, infecții la nivelul rădăcinilor, probleme parodontale, retracții osoase, anomalii dento-maxilare, procese tumorale etc. De asemenea, tratamentele stomatologice anterioare pot fi evaluate, toate acestea fiind motive pentru care radiografiile sunt necesare în cazul unei consultații preliminare.

Ortopantomografia oferă o imagine panoramică a maxilarului, a mandibulei, a sinusurilor maxilare și a articulațiilor temporo-mandibulare.  

Se poate efectua atât la adulți, cât și la copii, doza de radiații fiind minimă, iar timpul de expunere foarte scurt. În cazul copiilor, radiografia panoramică ne ajută să evaluăm și evoluția erupției dentare. Deși radiațiile X sunt nocive pentru sănătate, aparatura digitală de ultimă generație expune corpul uman la o doză de radiații extrem de redusă, similară celei produse de un televizor în câteva ore de vizionare sau celei rezultate în urma unei plimbări dintr-o zi însorită.

Unde ne găsiți
Beclean, Jud. Bistrița-Năsăud,
Str. 1 Decembrie 1918, nr. 57A
Program de lucru:
Luni - Vineri: 09:00 - 19:00
© Copyright Muresan 2020 ANPC Politica de confidențialitate Informații legale